
A seemingly innocent sneeze turned into a perilous ordeal for a man who attempted to suppress it. In an unusual incident reported by Live Science, a man driving a car suddenly developed Hay Fever, prompting an unconventional sneeze control technique that resulted in an unexpected and alarming consequence.
Rather than letting the sneeze occur naturally or employing conventional methods like pinching under the nose, the man pinched his nose and covered his mouth to suppress the sneeze. However, this approach catastrophically backfired, resulting in a small 2x2-millimeter hole in his trachea, a case which is rare in medical history.
Winter Wellness: 7 foods for nasal congestion relief
The force generated by the sneeze suppression caused a significant build-up of pressure, leading to a sneeze estimated to be 20 times more powerful than a regular one. The intense pressure caused substantial damage, tearing the man's trachea by 0.08 inches.
Experiencing severe pain and visible swelling on both sides of his neck, the man sought urgent medical attention. Despite the severity of the injury, the individual didn't face difficulty in breathing, speaking, or swallowing.
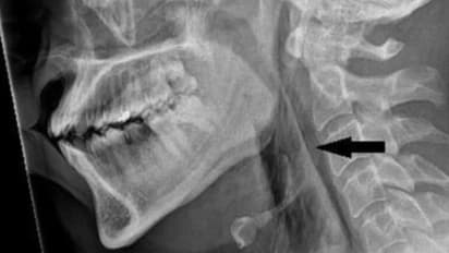
Medical examinations, including X-rays and CT scans, revealed extensive damage caused by the sudden and forceful suppression of the sneeze. Surgical emphysema, a condition where air accumulates in deeper tissue layers, was evident, along with a tear detected between the third and fourth vertebrae in the neck. Additionally, air had collected in the area between the lungs and chest.
VOTE! Should there be a ‘paid leave’ policy for menstruation?
Medical experts unanimously concluded that the man's injury stemmed from the rapid pressure build-up in the airways while attempting to suppress the sneeze. Fortunately, surgery wasn't deemed necessary, but the individual remained under observation in the hospital for two days to ensure stable vital signs, including oxygen levels.
Upon discharge, the man was prescribed pain relief and hay fever medication. He was advised to refrain from strenuous activities for two weeks. The next follow-up CT scans after five weeks revealed a complete recovery from the traumatic incident.